오늘은 통풍 증상에 관련해 알아보려고 합니다. 원래 중년 남성에게 많이 나타나는 질환이 서구화된 식습관의 발달로 20~30대에 통풍 환자가 늘고 있습니다. 통풍의 한자는 '바람'과 '통'으로 번역되며, 바람이 불 때 고통스러운 특성을 포착합니다. 이 질병에 대한 적절한 설명입니다.













통풍 알아보기
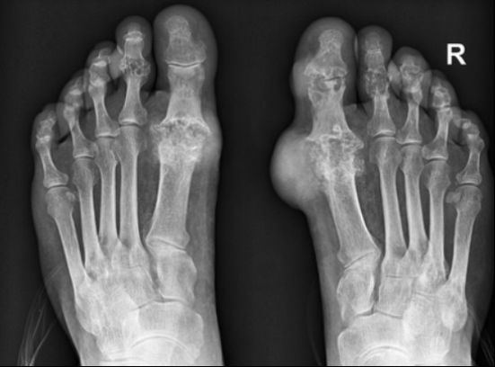
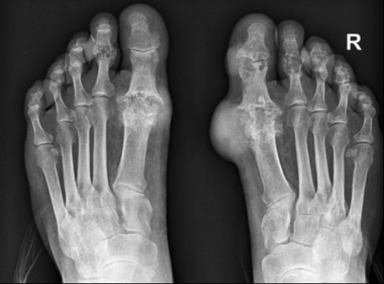
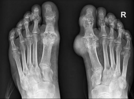
통풍이 있으면 다리를 절단하고 싶을 정도로 통증이 심합니다. 그리고 치료하지 않고 방치한다면 말기 신부전, 뇌졸중 또는 심근경색과 같은 생명을 위협하는 결과를 초래할 수 있습니다. 통풍은 요산으로 물질이 체내에 축적되어 관절염, 심한 통증, 신장 기능 장애를 일으키는 질환입니다.
통풍 증상
퓨린은 체내에서 분해되어 '요산'으로 전환되는데, '요산'이 과도하게 축적된다면 통풍의 증상이 나타나게 됩니다. 필수 아미노산 중 하나인 퓨린은 에너지로 사용된다면 체내에서 분해되어 '요산'으로 전환됩니다. 체내에 '요산'이 과도하게 축적된다면 통풍 증상이 나타나게 됩니다. 따라서 '요산'은 통풍의 원인과 가장 일반적으로 관련된 물질입니다.
체내 백혈구는 박테리아나 바이러스가 생성한 이 화학결합을 음식으로 인식하고 염증 반응 물질을 터뜨려 매우 심한 염증과 통증을 유발합니다. 식습관과 밀접한 관계가 있는 통풍을 예방하기 위해서는 새우젓, 동물 창자 등 퓨린이 많이 함유된 음식과 요산 배설 장애를 일으킬 수 있는 맥주를 피하는 것이 중요하다.
그 후, 손, 무릎, 발목의 관절에 계속해서 영향을 줄 수 있습니다. 통풍의 증상은 시기에 따라 고요산혈증, 급성 통풍성 관절염, 간헐성 통풍의 3단계로 분류할 수 있습니다. 일반적으로 엄지발가락 관절의 갑작스러운 종창이 처음 징후이며, 곧 해당 부위에 극심한 통증과 발적이 뒤따릅니다. 관절이 뜨거워져 신발을 신을 수 없게 될 수 있습니다. 그리고 손, 무릎, 발목의 관절에도 연속적으로 영향을 미칠 수 있다.
일반적으로 통풍 증상은 운이 좋으면 나타나지 않으며 평생 증상 없이 혈중 요산 농도가 높아지는 고요산혈증이 발생할 수 있습니다.
통풍이 진행된다면 10일 정도 지속되며 완화되더라도 재발하거나 악화될 수 있으므로 치료를 받아야 합니다. 급성 통풍성 관절염은 보통 엄지발가락에 나타나지만 발 관절, 발목, 무릎, 심지어 손목에도 영향을 미칠 수 있습니다. 간헐성 통풍은 일반적으로 6개월에서 2년 사이에 2번째 발작을 일으킵니다. 통풍 발작을 치료하지 않으면 시간이 지남에 따라 여러 관절로 전이될 가능성이 높아지므로 반드시 치료를 받고 정상적인 요산 수치를 유지해야 합니다.
통풍 치료법
통풍의 치료는 발병 원인에 따라 다를 수 있는데 처방되는 치료 유형은 재발, 가족력, 과거 신장 결석 치료 및 신장 기능에 영향을 받을 수 있다고 보고되었습니다. 전통적인 치료 하는방법은 일반적으로 요산 생성을 억제하거나 요산 배설을 개선하여 통풍의 주요 요인인 요산 수치를 낮추는 것입니다.
통풍에 해로운 음식
요산 수치를 낮추는 치료를 받더라도 생활습관을 바꾸지 않으면 재발할 확률이 높습니다. 따라서 예방 조치를 취하는 것이 필수적입니다.
함께 읽으면 좋은 글: 1. 음악치료의 효능에 관한 연구 2. 건강한 식습관의 중요성 음악치료의 효능에 관한 연구, 건강한 식단의 중요성 - 함께 읽으면 좋은 글.
댓글